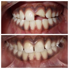
Our Success Stories

Want to see how we can improve your smile? View the “before” and “after” images from some of our patients — then imagine what we can do for you!

Take the First Step Toward a Healthy, Beautiful Smile

Make an Appointment